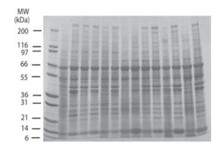
시약 및 기기 상세 [Novus] INSTA-Blot Western Blot Membranes Maker : NOVUS BIOLOGICALS INSTA-Blot은 세포 또는 조직 lysate에서 유래한 변성 단백질을 포함한, 즉시 사용 가능한 PVDF 멤브레인 입니다. 프린트 제품 문의 특징 INSTA-Blot은 이미 단백질이 로딩되어 제공되는 PVDF membrane입니다. 단백질 추출, 정량, 전기영동, transfer 과정이 생략되므로, WB 절차를 손쉽게 진행할 수 있습니다. 각 membrane에는 분자량 마커와 다양한 세포/조직의 변성된 단백질 용해물(lysates)이 로딩되어 있습니다. INSTA-Blot을 이용한 Western Blot 진행과정 Blocking Primary antibody incubation (1차 항체 배양)Washing Secondary antibody incubation (2차 항체 배양)Washing WB development 제품 종류 구분 종류 특징 종(Species) Human, Rat (Sprague Dawley), Mouse (Balb/c) 세 가지 주요 실험 동물 종의 제품을 제공합니다. 조직 종류 Brain, Heart, Small Intestine, Kidney, Liver, Lung, Skeletal Muscle, Stomach, Spleen, Ovary, Testis 다양한 주요 기관의 용해물을 포함합니다. 특수 제품 OncoPair INSTA-Blots (Human) 동일 환자의 암 조직과 정상 조직 용해물을 함께 포함하여 종양학 연구에 특화되었습니다. 세포주 제품 Human cell line INSTA-Blot HeLa, Jurkat, Daudi, HEK 293, Rh30, A375, T98G, HCT-116, Hep-2 세포의 용해물을 포함합니다. 데이터 Western Blot: INSTA-Blot Human Tissues [NBP2-30113] - Human Tissues. Approximately 20 ug per lane of human tissue lysates are resolved by SDS-PAGE, transfered onto PVDF membrane and stained with amido black. Lanes: 1. Molecular weight marker (Mark12); 2. Brain; 3. Heart; 4. Small Intestine; 5. Kidney; 6. Liver; 7. Lung; 8. Skeletal Muscle; 9. Stomach; 10. Spleen; 11. Ovary; 12. Testis Western Blot: INSTA-Blot Human Tissues [NBP2-31378] - SDS-Page: INSTA-Blot Human Tissues [NBP2-31378] - Approximately 50 ug per lane of human tissue lysates are resolved by SDS-PAGE, transfered onto PVDF membrane and stained with amido black. Lanes: 1. Molecular weight marker; 2. Brain; 3. Heart; 4. Small Intestine; 5. Kidney; 6. Liver; 7. Lung; 8. Skeletal Muscle; 9. Stomach; 10. Spleen; 11. Ovary; 12. Testis SDS-Page: INSTA-Blot Colon Tissue OncoPair [NBP2-30129] - Samples on the blot are layed out in pairs of tumor and normal tissue lysate from the same patient. There are seven pairs of samples, representing seven different patients, on each OncoPair blot. SDS-Page: INSTA-Blot Human Brain [NBP2-30119] - Approximately 30 ug per lane of tissue lysate is resolved by SDS-PAGE, transfered onto PVDF membrane and stained with amido black. Lanes: 1. Molecular weight marker; 2-12 human brain. 주문정보 견적문의 제품담기 주문정보 - Cat No, PRODUCT, SIZE, 수량 등 항목으로 구성되어있습니다. Product Cat.No. Size Maker Qty Data Sheet MSDS INSTA-Blot Breast Tissue OncoPair (1 EA) NBP2-30126 1 EA NOVUS BIOLOGICALS - + 보기 보기 INSTA-Blot Colon Tissue OncoPair (1 EA) NBP2-30129 1 EA NOVUS BIOLOGICALS - + 보기 보기 INSTA-Blot Female Lung Tissue OncoPair (1 EA) NBP2-30123 1 EA NOVUS BIOLOGICALS - + 보기 보기 INSTA-Blot Human Brain (1 EA) NBP2-30119 1 EA NOVUS BIOLOGICALS - + 보기 보기 INSTA-Blot Human Cell Lines (1 EA) NBP2-30114 1 EA NOVUS BIOLOGICALS - + 보기 보기 INSTA-Blot Human Tissues (1 EA) NBP2-30113 1 EA NOVUS BIOLOGICALS - + 보기 보기 INSTA-Blot Human Tissues (1 EA) NBP3-11812 1 EA NOVUS BIOLOGICALS - + 보기 보기 INSTA-Blot Human Tissues (1 EA) NBP2-31378 1 EA NOVUS BIOLOGICALS - + 보기 보기 INSTA-Blot Male Lung Tissue OncoPair (1 EA) NBP2-30122 1 EA NOVUS BIOLOGICALS - + 보기 보기 INSTA-Blot Mouse Brain (1 EA) NBP2-30120 1 EA NOVUS BIOLOGICALS - + 보기 보기 INSTA-Blot Mouse Tissues (1 EA) NBP2-30111 1 EA NOVUS BIOLOGICALS - + 보기 보기 INSTA-Blot Mouse Tissues (2 EA) NBP2-30111-2Each 2 EA NOVUS BIOLOGICALS - + 보기 보기 INSTA-Blot Multi-species Brain,Testis and Ovary (1 EA) NBP2-30115 1 EA NOVUS BIOLOGICALS - + 보기 보기 INSTA-Blot Multi-species Liver, Lung, Spleen Tissues (1 EA) NBP2-30117 1 EA NOVUS BIOLOGICALS - + 보기 보기 INSTA-Blot Multi-species Skeletal Muscle, Heart and Kidney T (1 EA) NBP2-30116 1 EA NOVUS BIOLOGICALS - + 보기 보기 INSTA-Blot Multi-species Stomach, Small Intestine and Pancre (1 EA) NBP2-30118 1 EA NOVUS BIOLOGICALS - + 보기 보기 INSTA-Blot Ovary Tissue OncoPair (1 EA) NBP2-30124 1 EA NOVUS BIOLOGICALS - + 보기 보기 INSTA-Blot Rat Brain (1 EA) NBP2-30121 1 EA NOVUS BIOLOGICALS - + 보기 보기 INSTA-Blot Rat Tissues (1 EA) NBP2-30112 1 EA NOVUS BIOLOGICALS - + 보기 보기 전체보기 1 Maker NOVUS BIOLOGICALS Cat.No. NBP2-30126 Product INSTA-Blot Breast Tissue OncoPair (1 EA) Size 1 EA Qty - + Data Sheet 보기 2 Maker NOVUS BIOLOGICALS Cat.No. NBP2-30129 Product INSTA-Blot Colon Tissue OncoPair (1 EA) Size 1 EA Qty - + Data Sheet 보기 3 Maker NOVUS BIOLOGICALS Cat.No. NBP2-30123 Product INSTA-Blot Female Lung Tissue OncoPair (1 EA) Size 1 EA Qty - + Data Sheet 보기 4 Maker NOVUS BIOLOGICALS Cat.No. NBP2-30119 Product INSTA-Blot Human Brain (1 EA) Size 1 EA Qty - + Data Sheet 보기 5 Maker NOVUS BIOLOGICALS Cat.No. NBP2-30114 Product INSTA-Blot Human Cell Lines (1 EA) Size 1 EA Qty - + Data Sheet 보기 6 Maker NOVUS BIOLOGICALS Cat.No. NBP2-30113 Product INSTA-Blot Human Tissues (1 EA) Size 1 EA Qty - + Data Sheet 보기 7 Maker NOVUS BIOLOGICALS Cat.No. NBP3-11812 Product INSTA-Blot Human Tissues (1 EA) Size 1 EA Qty - + Data Sheet 보기 8 Maker NOVUS BIOLOGICALS Cat.No. NBP2-31378 Product INSTA-Blot Human Tissues (1 EA) Size 1 EA Qty - + Data Sheet 보기 9 Maker NOVUS BIOLOGICALS Cat.No. NBP2-30122 Product INSTA-Blot Male Lung Tissue OncoPair (1 EA) Size 1 EA Qty - + Data Sheet 보기 10 Maker NOVUS BIOLOGICALS Cat.No. NBP2-30120 Product INSTA-Blot Mouse Brain (1 EA) Size 1 EA Qty - + Data Sheet 보기 11 Maker NOVUS BIOLOGICALS Cat.No. NBP2-30111 Product INSTA-Blot Mouse Tissues (1 EA) Size 1 EA Qty - + Data Sheet 보기 12 Maker NOVUS BIOLOGICALS Cat.No. NBP2-30111-2Each Product INSTA-Blot Mouse Tissues (2 EA) Size 2 EA Qty - + Data Sheet 보기 13 Maker NOVUS BIOLOGICALS Cat.No. NBP2-30115 Product INSTA-Blot Multi-species Brain,Testis and Ovary (1 EA) Size 1 EA Qty - + Data Sheet 보기 14 Maker NOVUS BIOLOGICALS Cat.No. NBP2-30117 Product INSTA-Blot Multi-species Liver, Lung, Spleen Tissues (1 EA) Size 1 EA Qty - + Data Sheet 보기 15 Maker NOVUS BIOLOGICALS Cat.No. NBP2-30116 Product INSTA-Blot Multi-species Skeletal Muscle, Heart and Kidney T (1 EA) Size 1 EA Qty - + Data Sheet 보기 16 Maker NOVUS BIOLOGICALS Cat.No. NBP2-30118 Product INSTA-Blot Multi-species Stomach, Small Intestine and Pancre (1 EA) Size 1 EA Qty - + Data Sheet 보기 17 Maker NOVUS BIOLOGICALS Cat.No. NBP2-30124 Product INSTA-Blot Ovary Tissue OncoPair (1 EA) Size 1 EA Qty - + Data Sheet 보기 18 Maker NOVUS BIOLOGICALS Cat.No. NBP2-30121 Product INSTA-Blot Rat Brain (1 EA) Size 1 EA Qty - + Data Sheet 보기 19 Maker NOVUS BIOLOGICALS Cat.No. NBP2-30112 Product INSTA-Blot Rat Tissues (1 EA) Size 1 EA Qty - + Data Sheet 보기 전체보기 first 1 last 추천제품 Western Blot 분석서비스 단백질 전기영동 precast gel 선택가이드 [R&D Systems] Antibody [Novus] Primary Antibody | 1차 항체 단백질 전기영동 마커 | EzWay™ Prestained Protein Marker 관련제품 견적문의 제품담기 주문정보 - Cat No, PRODUCT, SIZE, 수량 등 항목으로 구성되어있습니다. Product Cat.No. Size Maker Qty Data Sheet MSDS 자료 웨비나/Video
Western Blot 분석서비스 단백질 전기영동 precast gel 선택가이드 [R&D Systems] Antibody [Novus] Primary Antibody | 1차 항체 단백질 전기영동 마커 | EzWay™ Prestained Protein Marker